專業牙醫|植牙價差大,決定前一定要看清楚!
醫學漸漸進步
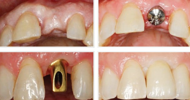
在過去的幾年中,植牙牙科領域取得了很大的進步,但是仍然有數百萬的人因事故,蛀牙或牙齦炎而導致牙齒脫落。以前,人們唯一需要更換缺失牙齒的選擇是牙橋或假牙。但是如今,隨著牙科植入物的發現,它們可以非常有效地替換掉缺失的牙齒。
牙齒植入物的發明
牙科植入物的主要目的是使您的天然牙齒具有相同的外觀。而且,植牙它們是建立在牢固的基礎上的。它們由鈦製成。植入物插入後,它與骨骼融合併逐漸變得永久。與義齒相比,植入物可幫助您的言語過程。如果使用不正確的方法,假牙會導致口齒不清。但是,使用牙科植入物,您將能夠非常清晰地說話。
和傳統假牙相比
如果您以前戴過假牙,您會知道戴假牙時會感到不舒服。植入物比您想像的要舒適。戴假牙時很難咀嚼食物。牙種植體與您的天然牙齒相同;您可以吃任何東西而不會感到任何不適或其他問題。
現在您可能想知道鈦植入物是否成功。那麼,這些設備的成功率直接取決於其放置在顎中的位置。通常,牙科植入物的成功率約為98%。如果您以正確的方式進行維護,它們是可以永久陪你的。
請記住,並非每個人都可以使用鈦植入物。如果一個人想要種植牙,要滿足一些標準。他應該身體健康,牙齦健康,還應該有足夠的牙齒骨骼,以便將設備牢固地固定在適當的位置。大量吸煙者,患有心臟問題的人和接受過放射治療的人不能被認為是此類口服藥物的理想選擇。

